Google
 

أسفل

جــــديدنا
ما يجب أن تعرفه عن اسهالات الأطفال .....     فضل الحضارة العربية الإسلامية على الحضارة الكونية الحديثة .....     لقاحات الكورونا المستجد .....     المقالات المنشورة على موقع طبيب الوب عن الكورونا – وباء الكوفيد 19 .....     التصرف السليم مع مرض الكورونا في الحالات خفيفة الشدة حصراً المقالة رقم 38 .....     أسباب وفيات الأطفال المراجعين للعيادات في مدينة اللاذقية .....     علاج الكورونا بالكلوروكين hydroxychloroquine .....     الأعراض الشعاعية لمرض الكوفيد 19 – وباء الكورونا .....     كيف يتكارثر فيروس الكورونا .....     الخصائص التي امتاز بها المرضى الذين ماتوا بفيروس وباء الكوفيد 19 - كورونا في ايطاليا .....     وباء الكوفيد 19، الكورونا. احصائيات اوربية و عالمية covid 19 / Corona virus .....     تشخيص الشقيقة والوقاية منها .....     فوائد رعاية الأطفال الخدج وناقصي وزن الولادة بوضعية الكنغ .....     الامراض المعدية .....     في عيون القراء .....     لعبة الغولف Golf تطيل الحياة .....     صمامة الرئة و الحمل .....     سرطان المبيض .....     توطئة في علم السموم .....     Lithopédion من عجائب الطب .....     طرق و اساليب منع الحمل .....     وباء الكريب grippe A(H1N1)2009 المسمى سابقا انفلونزا الخنازير .....     مقدمة إلى المشاكل الجنسية عند المرآة .....     الالتهابات التناسلية ـ الإصابة الخمجية للجهاز التناسلي بالكائنات الدقيقة .....     دراسة انتشار الطفيليات المعوية عند الأطفال .....     هل يمكن للولادة بالمجيء المقعدي أن تتم عن الطريق الطبيعي؟ .....     هل يفيد العلاج الجراحي لدوالي الحبل المنوي؟ .....     العذرية و غشاء البكارة .....     نصائح للأطباء حول تدبير حالات عسرة انتصاب القضيب .....     وباء الايدز، حقيقة الامر بالبلدان العربية، خصائص المرض، طرق العدوى، وسائل الوقاية .....     القذف المبكر، المتعة السريعة .....     مواضيع تهم الأطباء و طلاب الطب .....     صفحة خاصة تهتم بمشاكل الحمل و الولادة و تطور الجنين .....     العقبولة التناسلية Herpes .....     الطبيعي بالجنسانية الإنسانية .....     تعرفوا على أنفسكم. معلومات عامة طبية عن جسم الأنسان .....     اللقاح ضد سرطان عنق الرحم.. .....     سرطان عنق الرحم و فيروس البابيلوما الأنسانية HPV .....     الموسوعة المصغّرة للثقافة الجنسية و علم الجنس الطبي sexologie .....        
 
 

 

المقدمة

 

الأمراض النسائية

 

أمراض منتقلة عن طريق الجنس

 

أساسيات الـ colposcopie

 

أعراض و مظاهر اولية

 

حالات سريرية

 

افات سرطانية

 
 
 

من أجل حلول لمشاكلك الجنسية، اسأل متخصص.

 
 
 

دليل لمواقع تهمك على الشبكة.

 
 
 

 

 

 
 

مخطط الموقع

باب الأمراض النسائية - الصفحة (3) - أطلس عنق الرحم - أطلس العنق

 
 

 
 

التحري عن سرطان عنق اللرحم بالطاخة، تصنيف Bethesda

 

دكتور لؤي خدام

 

التحري عن سرطان عنق الرحم

التحري عن سرطان عنق اللرحم بالطاخة أصبح عمره أكثر من نصف قرن، و ضعه PAPANICOLAOU بعام 1943

و كانت تعطى النتائج حسب خمسة درجات

CLASS. de PAPANICOLAOU 1943
Classe I absence de cellules atypiques ou anormale
Classe II cytologie atypique sans évidence de malignité
Classe III cytologie suggérant sans certitude la malignité
Classe IV cytologie très suspecte de malignité
Classe V cytologie concluant à la malignité


ثم عدل على الشكل التالي
CLASS.de PAPANICOLAOU
Classe I non inflammatoire et non suspect
Classe II inflammatoire et ou dystrophique
Classe III atypique ou suspect (dysplasie)
Classe IV malin
Classe V …Classe II + ; II-III, non classé



تصنيف بيتزيد Bethesda

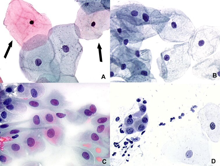
خلال السنوات الأخيرة شهدت الأبحاث عن سرطان عنق الرحم نهضة كبيرة. تصنيف بابانيكولاي لم يعد كافيا للتعبير عن نتائج اللطاخات و لذا أقترح تصنيف نتائج لطاخة عنق الرحم حسب Bethesda.

وضع هذا التصنيف لأول مرة عام 1988، و تم تحسينه على عدة مراحل، حتى أصبح تصنيفا عالميا معتمداً بأغلب أرجاء الأرض. و استغني بذلك نهائيا عن تصنيف بابانيكولاي

تم اعتماد تصنيف بيتزدا بفرنسا من قبل الـ Agence nationale d'accréditation et d'évaluation en santé
ANAES
<<
منذ عام 1998 كما تم تحديثه بعام 2001.

يطلب هذا التصنيف من المشرح الرضي أن يحدد الأمور التالية
ـ نوع العينة، و تحديد ما أن كانت الدراسة أوتوماتيكية.
ـ ذكر أمكانية فحوصات متممة مثل البحث عن الـ (test HPV).
ـ يجب أن يحدد ما أن كانت العينة قد عولجت بالطريقة الكلاسيكية. frottis conventionnel أو بالسائل préparation en milieu liquide


تعتمد النتيجة على مبدئين

1ـ الخاصية الأولى: نوعية العينة


تعطى النتائج على الشكل التالي
... مناسبة للتقييم Satisfaisant
... غير مناسبة لتقييم النتيجة و تحتاج للإعادة Non satisfaisant و هنا يجب تحديد السبب الذي دفع لرفضها

... ... الدرجة الوسطى أي العينة مناسبة و لكن ضمن حدود. أي أن تفسير النتيجة يصعب لوجود خلايا التهابية أو فطور أو دم.
و اتفق مؤخرا على الاستغناء عنها نظرا لخواصها المبهمة. فالنتيجة أما مناسبة أو غير مناسبة يجب إعادتها. و مجرد وجود بعض الخلايا المرضية يكفي لكي تكون العينة مناسبة.

... ... يجب أن يوضح التقرير ما إذا كانت الخلايا الداخلية للعنق Cellules endo cervicales = cellules glandulaire موجودة أم لا، و هذا يدل على أن اللطاخة قد شملت منطقة الوصل.
ما تزال الآراء متضاربة حول ضرورة إعادة إجراء اللطاخة بحالة غياب خلايا داخل العنق. ربما كان من الأفضل إعادة إجراء الفحص بعد 6 اشهر.

... ... يجب أن يذكر التقرير أمكانية وجود قسم من الخلايا التي لا يمكن دراستها، أما متراكمة فوق بعضها أو مغطات بالدم، أن كان اكثر من 75% من الخلايا غير ظاهرة تعتبر العينة غير مناسبة.


2ـ الخاصية الثانية النتيجة العامة،

أو التصنيف العام يوضح CLASSIFICATION GENERALE

بالشق الأول: اللطاخة سلبية


ـ عدم وجود آفة داخل البشرة، و عدم وجود علامات الخبث. Absence de lésion intraépithéliale ou de malignité

ـ وجود خلايا بطانة الرحم.

ـ وجود الكائنات الدقيقة بالعينة، من فطور أو طفيليات Trichomonas vaginalis
éléments mycéliens, Candida;

ـ وجد أختلال بالتوازن الجرثومي للمهبل. anomalies de la flore vaginale évoquant une vaginose bactérienne;

ـ وجود عناصر خلوية تدفع للأشتباه بالاصابة بفيروسة العقبولة modifications cellulaires évoquant un Herpès simplex;

ـ تبدلات و تغيرات ارتكاسية أخرى، modifications réactionnelles :
... ...inflammation التهابية
... ... irradiation شعاعية
... ...ou présence d’un dispositif intra-utérin أو ناتجة عن وجود اللولب المانع للحمل

ـ وجود خلايا غدية عند سيدة تعرضت لأستئصال رحم.

ـ علامات ضمور atrophie.

بالشق الثاني اللطاخة أيجابية خلايا بشرة مالبيغية غير طبيعية. Anomalies des cellules malpighiennes

ـ وجود علامات غير طبيعية بخلايا البشرة. و يجب أن يحدد التقرير ما أن كانت هذه الخلايا هي غدية أو مالبيغية.
Présence d’anomalies des cellules épithéliales :
cellules malpigiennes
cellules glandulaires


-ASC – US
(Atypical Squamous Celle of Undeterminedــ Significance) Atypies des cellules malpighiennes (ASC)
De signification indéterminée (ASC-US)
- خلايا ملبيغية غير نموذجية لا يمكن تحديد مصدرها، سواء أكان التهابي، أو آفة.
تشير الإحصائيات أن هذه النتيجة تترافق مع اعتلال درجة ثانية أو ثالثة بـ 5 إلى 10% من الحالات


ASC-H Atypies cellulaires malpighiennes ne permettant pas d ’exclure
une lésion malpighienne intraépithéliale de haut grade
(Atypical Squamous Cells cannot exclude HSIL)
خلايا غير نموذجية لا تسمح بنفي آفة ملبيغية داخل البشرة

LSIL – LMIEBG
Lésions malpighiennes intraépithéliales de bas grade (LSIL – LMIEBG)
ـ اللطاخة تدعو للأشتباه بآفة ملبيغية داخل البشرة من الدرجة المنخفضة:
و هي تشمل ما كان يسمى سابقا: lésions à HPV/condylome, dysplasie légère, CIN1

HSIL – LMIEHG
Lésions malpighiennes intraépithéliales de haut grade (HSIL – LMIEHG)
ـ لطاخة تدعو إلى الاشتباه بآفة ملبيغية داخل البشرة من درجة عالية.
(regroupant les lésions autrefois dénommées : dysplasies modérées et sévères, CIN2, CIN3 et CIS)

ـ لطاخة تسمح بالاشتباه بسرطان غازي. processus invasif (sans autre précision)
يمكن أن يحدد ما أن كان مالبيغي أو غدي. Le carcinome malpighien

AGC, AGUS
ـ الشذوذات بالنسيج الغدي لداخل العنق
Anomalies des cellules glandulaires
Atypies des cellules glandulaires(AGC) : (Atypical Glandular Cells)
يمكن أن تحل مكان (AGUS) الخلايا الغدية الغير نموذجية و الغير محدودة المصدر
... ... السرطان الغدي بالمكان Adénocarcinome endocervical in situ (AIS).
... ... السرطان الغدي Adénocarcinome

ـ علامات تثير الاشتباه بسرطان بطانة الرحم.
endométriales (SAI ou commenter) ou


ـ علامات تثير الاشتباه بسرطانات أخرى لعنق الرحم.



النصائحيمكن للمشرح المرضي أن يضيف إلى خلاصة نتيجته عبارة تساعد الطبيب النسائي على تدبير الحالة:
ـ أعادة الفحص
ـ مرابقة بعد سنة
ـ أعادة الفحص بعد 6 أشهر
ـ أعادة الفحص بعد علاج الحالة الألتهابية أو الفطرية.
ـ ينصح بالتحري عن فيروسة الـ HPV
ـ ينصح بأجراء كولبوسكوبي مع أخذ خزعة.


خلاصة
SYSTEME de BETHESDA 2001
- appréciation de qualité du prélèvement النوعية
... satisfaisantجيدة
... non satisfaisantغير جيدة
- techn : conventionnel ou milieu liquideالتقنية، كلاسيكية أو صمن سائل
- interprétation / résultatsالنتيجة
... absence de lésion intraépith. ou maligneغياب الأفة ضمن البشرة
... ... تفاصيل أخرى préciser
... anomalies malpighiennesأفة ضمن البشرة
... ... ...ASC : ASC-US ; ASCH, bas gradeدرجة منخفضة
... ... ...haut grade, درجة عالية
... ... ...carcinome invasif سرطان غازي
... ... ... anomalies glandulairesشذوذات غدية
AGC, adénocarcinome in situسرطان غدي بالموضع
Adénocarcinomeسرطان غدي


التدبير
بعد انتشار تصنيف بيتزدا و توقف استعمال تصنيف بابانيكولاي لاقت اللطاخات المصنفة تحت عبارة ASC-US الكثير من النقاش حول خطوات تبديرها.

مراجعة الأدب الطبي تظهر أن قسما كبيرا من النساء لا يعاني من شيء رغم وجود هذه النتيجة باللطاخة. على الرغم من أن هذه النتيجة تعادل ما يقارب 1.5 إلى 8 % من مجمل نتائج اللطاخات. " المتوسط 3% بفرنسا"

و لكن و بالمقابل فأن 5 إلى 17 % من اللطاخات المصنفة ASC –US يمكنها ان تخفي آفة أعتلالية من درجة عالية.

و يلاحظ أيضا أن 38% من الآفات المصنفة درجة عالية تأتي بفضل تشخيص ASC –US

لذا فأن هذا التصنيف و الذي لا يخفي بالغالب أي مرض، يجب أن يأخذ عناية خاصة.

الخطوات الممكن إجرائها لتدبير حالة ASC-US :
ـ اعادة الفحص بعد 6 اشهر لسنة. أن كانت هذه المراقبة سلبية تعود السيدة إلى المراقبة الدورية. هذه الخطوة الغير مكلفة قد تدفعنا للمرور على 30% من الآفات الماقبل سرطانية العالية الدرجة.

ـ إجراء تنظير عنق الرحم فورا، أي الكولبوسكوبي Colposcopie و هو فحص حساس جدا، و لكنه يسمح باكتشاف عدد كبير من الآفات ذات الدرجة المنخفضة التي ليس لها أهمة إذ تشفى لوحدها. و لكن الأمر سيقلق السيدة و طبيبها.

ـ أجراء أختبار التحري عن فيروسة الـ HPV الذي يمكنه أن يحدد نوع الفيروس، و ما أن كان مسرطن ينتمي للفئات العالية الخطورة مثل: 16. 18. 45. 31 .
... ... أن كان هذا التحري سلبي ينصح بإعادته بعد 6 أشهر. و إن كان الكونترول سلبي ايضا، تعود السيدة إلى نظام المراقبة الدورية المعتاد.
... ... أن كان التحري ايجابي، يجرى الكولبوسكوبي لأخذ عيانات "خذعة" لهذا الاسلوب الأخير حساسية كبيرة. قيمة التنبؤ السلبي VPN valeur prédictive négative عنده جيدة

احتمال العثور على آفة CIN II CIN III .لا تتجاوز 1% أن كان التحري عن الـ HPV سلبي


بحال العثور على لطاخة ASC –H :
ينصح بأجراء الكولبوسوبي فورا لأن هذا التشخيص يخفي ما يقارب 40% من الآفات ذات الدرجة العالية CIN II .CIN III و بالنادر سرطان غازي


اللطاخة التي تدعو للاشتباه بإعتلال من الدرجة العالية يجب أن تستوجب الكولبوسكوبي فورا، لا يجوز أعاد أجراء لطاخة أخرى بحال العثور على لطاخة HSIL إعادة أجراء اللطاخة يتعبر خطأ لأنه قد يدفعنا للمرور على آفة عالية الدرجة.







المصدر

Conduite à tenir devant une patiente ayant un frottis cervico-utérin anormal
<<

Le frottis du col utérin GYN WEB



مقالات ذات علاقة
سرطان عنق الرحم و فيروس البابيلوما الأنسانية HPV

اللقاح ضد سرطان عنق الرحم



للمتابعة مع

عنق الرحم الطبيعي، Ectropion & métaplasie


بأنتظار المزيد

 

 
 
 

 

 

 

 

 

 

 

 

 

 

 

   
أعلى
الصفحة الرئيسية - الأرشيف - بحث - اتصل بنا - من نحن - سجل الزوار - الصفحات الأخرى
 

الحقوق محفوظة طبيب الوب 2014 ©

http://tabib-web.eu - http://www.tabib-web.eu